Osteogenesis Imperfecta (OI)
OI otherwise known as ‘brittle bone disease’ is a condition in which bones and other tissues in the body are weak due to defect in the collagen protein. Because of this, bones are unable to withstand mechanical forces and they break easily. This is a genetic disease in which the baby is born with defect in his/her genes and it may be transmitted to the next generation. Risk of such condition is more when marriage occurs between blood relatives (Consanguineous marriage).
There are different types of OI according to severity and genetic defect. In the most severe type of OI babies die within uterus of mother or dies at the time of birth. In the mildest variety there may be a slightly increased risk of sustaining fractures on fall.
Hip Conditions
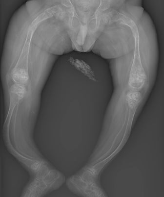
- Frequent fractures- in most patients fractures occur even before child starts walking (age of 1 year). Earlier the fracture, more severe the disease. Commonly bones of thigh and leg fracture. Fractures heal at same time as normal children.
- When multiple fractures occur and the healed bone may be short or bent (called ‘bowing’)
- Height of child may be lower than normal
- Teeth may be weak with carries
- There may be blue/dark colour of eyes
- Hearing impairment can be there, especially at older ages
- Bent in the backbone (‘scoliosis/kyphosis’)
- Peculiar appearance of face (triangular face)
Diagnosis
- Usually history of multiple fractures
- The typical x ray picture helps in diagnosis
- Some patients have positive family history
- Diagnostic tests are skin biopsy (to demonstrate abnormal collagen) and genetic analysis (done in blood sample, it detects abnormal DNA)

Treatment
Medical treatment
Medical treatment: Aim of this treatment is prevention of fractures, increasing bone strength, thus avoiding shortening and bowing of bones to some extent.
Medicines used are:
Bisphosphonates- they increase bone strength and prevent fractures. They have to be continued till completion of growth.
The drugs are:
Pamidronate: Most popular and most well studied drug. It is an injection given as infusion(drip) into veins, one dose takes 4-8 hours to finish, one injection is given on a day. Usually 3 injections are given over 3 consecutive days. This cycle repeats every 3 months.
* Alendronate: Given as tablets taken by mouth everyday.
* Zoledronic acid: Newer drug. Single infusion given over 1 hour, has to be repeated every 6-12 months.
* Vitamin D3 and calcium
Assistive devices
For children who cannot walk independently walking sticks, walker frames or wheelchairs can be used. Protective devices which prevent fractures are also used.
Surgical treatment
Surgery is done in OI mainly for three purposes:
* Fixing fractures when needed- most fractures in young children can be treated with plaster casts, as children grow older fractures which need surgery to fix them can occur.
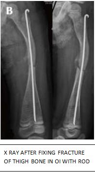
* Correcting bowing of bones- When the bend in the bone is too severe for the child to walk or work it needs correction by surgery. In this procedure bent bones are cut to straighten them and then fixed by putting metal rods inside them.
* To prevent frequent fractures by strengthening them- This also involves placing metal rods
within bones- these are left in place for long.
Surgical fixation with metallic plates and screws is not done in OI because it tends to fail due the defective bone. Instead, metallic rods placed inside bones are used commonly. These rods need to be changed when bones bearing them outgrow the rods. An alternate option is to use growing rods which have recently come up in the western world and are costly.


